A Clinica Raddi - criada desde 2010, é uma clínica de Radiologia Odontológica Digital, focada em oferecer o melhor a seus clientes, têm o objetivo de disponibilizar exames de alto nível, com qualidade exclusiva digital proporcionando assim maior rapidez no resultado e diagnóstico.
.
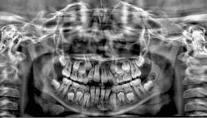
Radiografias Digitais

- Raio X Panorâmico
- Telerradiografia
- Periapicais
- Interproximais
- Levantamento Periapical
- Radiografia de ATM (Boca Aberta e Fechada)
- Radiografia de Mão e Punho (Idade Óssea)
Tomografia Computadorizada

- Exame Tridimensional dos Maxilares
- Tomógrafo de Altíssima Resolução
Documentações
- Radiografias Digitais com Laudos e Análises
- Modelos em Gesso
- Fotografias Intra-Orais e Extra-Orais


